喻婷  副主任医师

浙江省中西医结合医院

职业病科

18 0 1780 0
视频 音频 文章 问答

肺上有结节喘不上来气是为什么?

2025/11/1 19:34     阅读:3

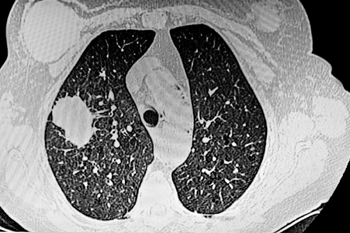
肺上有结节喘不上来气是为什么?

肺上有结节且喘不上气,多因结节影响肺部功能或合并其他肺部问题。若结节体积较大(直径超过3厘米),或位于支气管、肺门等关键位置,会压迫气道或阻碍肺部通气,导致气流不畅,出现呼吸困难、喘憋症状。

也可能是结节合并肺部炎症、肺气肿等疾病,炎症会导致肺组织充血水肿,肺气肿会使肺功能下降,两者叠加会加重呼吸不畅。此外,若结节为恶性(如肺癌),肿瘤进展会破坏肺组织,影响气体交换,进而引发喘憋。

出现这种情况需立即就医,通过胸部CT、肺功能检查等明确结节性质和肺部情况。若为良性结节合并炎症,需抗感染治疗;若结节压迫气道或为恶性,需及时手术或其他针对性治疗,避免延误病情。

欢迎点赞、关注、评论哦!

#肺结节喘憋# #肺部功能# #结节性质# #流感健康科普# #甲型H3N2流感#